Visions
A Careful Look On The Outside
What one focuses on will determine the direction of where the hoof is heading. If you read the signs correctly, the path to where you want to end up seems very easy. Try not to be distracted by the things that are causing the hoof to appear distorted when focusing on the future hoof you are planning to attain. Pictures here show some problems needing correction.
Minor Repair to Weak Wall With Strategically Placed Clip
Wall re-build with nailed shoe.
Broken Quarters
Shallow Sole with a Prominent Frog w/Support
Excessive Pressure on the Wall and Weak Sole Support
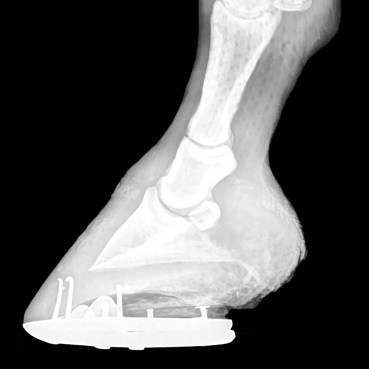
Excessive Distance Between the Coffin Bone and Ground Surface
Excessive Distance Between the Coffin Bone and Ground Surface
Recognize the Issues
It can be seen from these two mouseover images above that the hoof presented for shoeing has a very quick breakover. Pay attention to the distance from the point of the frog to the toe of the shoe. The horses stride is substantially shorter with this style of shoeing. The before picture shows that the shoe was set back significantly with a broad toe box to increase the speed and direction of breakover causing the hoof to travel vertically quickly as soon as the hoof leaves the ground. In the final view (mouseover image to see final shoe application) a more normal breakover to correct the hoof flight. The hoof flight will be changed significantly to be a lower and longer trajectory. Of course, this changed increases the length and quality of the stride. Try to investigate the reasoning for the excessive setback of the shoe. Is it solely to keep the shoe from being pulled? Is there a lamness that is the concern? Answer these questions before changing to a more perimeter fit. Making the change will definitely give the horse an easy, appealing gait for pleasure or show.
All images courtesy Killjoy Productions
CALCULATE PAD THICKNESS TO CORRECT HOOF ANGLE
RECOGNIZE THE NEED FOR SUPPORT
DETERMINE THE PROBLEM AND PLAN
© Killjoy Productions 2000-2022 All Rights Reserved
No content may be copied, distributed or otherwise used without the written consent of Killjoy Productions
and EquineAir.com
